
МОСКВА, 3 апр - РИА Новости. Врачи Мытищинской больницы спасли мужчину, которому во время лечения зубов в дыхательные пути попал стоматологический бур, сейчас пациент чувствует себя хорошо, сообщили в министерстве здравоохранения Московской области.
Стоматологический бур, извлеченный из бронхов пациента, проходящего лечение в частной клинике в Подмосковье
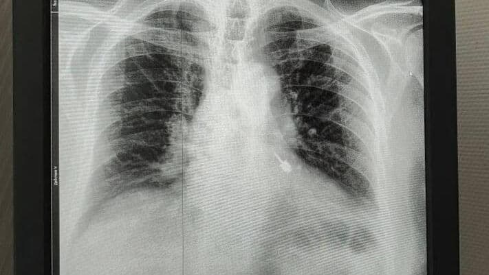
По данным ведомства, мужчине во время лечения зубов в частной клинике в дыхательные пути попал стоматологический бур. Почувствовав дискомфорт, он обратился к медикам. На приёме в Мытищинской больнице бур был обнаружен в левом бронхе. Требовалась срочная операция.
"Главная задача заключалась не просто в удалении инородного тела, а в том, чтобы сделать это максимально аккуратно: острая часть бура могла повредить стенки бронха, вызвав кровотечение или перфорацию... Используя современное эндоскопическое оборудование, врачи действовали предельно осторожно. Специальным эндоскопическим инструментом бур был надёжно зафиксирован и плавно извлечён — без травмирования окружающих тканей", – сказала врач-эндоскопист Мытищинской больницы Мария Юрченко, слова которой приводятся в сообщении.
В минздраве отметили, что после операции состояние пациента быстро стабилизировалось, никаких осложнений не возникло. Спустя несколько дней врачи выписали мужчину из больницы, и сегодня он чувствует себя хорошо.



